专家谈健康
【为了您的健康,我们的专家有话说】老年人“反流”可能不是小事儿
关于“反流”您可能有一些疑问,听听我们的专家怎么解答吧。。。
常听大家说“反流”,那么什么是“反流”?
“反流”在医学上叫“胃食管反流病”。指病人感觉反酸、烧心,甚至胃内的食物向上到咽部或口腔。
为什么会出现反流?
正常情况下,胃内的食物和胃分泌的胃酸是向下推进到小肠的,不会向上反流到食管中。因为胃和食管连接部(医学上叫“贲门”,老百姓常说成“胃嘴儿”)正常情况下是收紧的,所以胃酸和食物不会向上“反流”到食管。老年人器官功能下降,“胃嘴儿”也松弛了,所以容易“反流”,这就是为什么老年人“反流”多的原因。有些药物、吸烟饮酒、喝咖啡、浓茶、碳酸饮料,进食油腻食物、甜食等都会引起或加重反流。另外,肥胖者、进食过饱、睡前进食等都可能出现反流。
“反流”对我们的健康有哪些影响?
正常人胃内的酸度很高,胃酸在胃内我们不会有感觉,因为胃能分泌胃酸,也能抵抗胃酸。但是胃酸一旦反流到我们的食管,就会出现烧心和反酸的感觉。这是一种很不舒服的感觉,正常人偶尔也会发生,如果每周都有,甚至每天都有,“反流”肯定无疑了。食管在功能上抵抗胃酸的能力差,所以,比较严重的反流就会灼伤食管,形成“反流性食管炎”,严重者可导致食管溃疡、食管狭窄等,出现吞咽困难。有些食管炎表现为胸痛,症状酷似 “心绞痛”,被当成冠心病治疗,对于胸痛者要排除反流性食管炎。胃酸或食物向上反流到气管,就会出现慢性咳嗽,还会诱发哮喘。所以,对于慢性咳嗽和哮喘者要注意是否“反流”所引起。胃酸反流到咽部,可以引起慢性咽喉炎。对于高龄老人或卧床的老人,可能诱发肺炎。部分人牙不好,也可能与反流有关。
需要做什么检查吗?
一般情况下,胃食管反流病主要是依靠症状作出诊断。即具有反酸烧心症状或伴有食物反流,就可以作出诊断。但是比较保险的办法是作胃镜检查明确诊断,排除溃疡、肿瘤等疾病,还能判断反流性食管炎的轻重。
怎么解决“反流”?
首先从改变生活习惯入手。减肥,戒烟限酒,不喝浓茶、咖啡和碳酸饮料,少吃甜食和油腻食物,饮食清淡,睡前不进食,饮食勿过饱。严重的反流者床头抬高20厘米也有效。比较有效的药物是抑制胃酸分泌的药物,主要是质子泵抑制剂,这是一大类药物,包括奥美拉唑、泮托拉唑、雷贝拉唑、艾司奥美拉唑等,一般都有比较好的效果,但是停药容易复发。症状轻者可以按需服药,即症状出现时服药,缓解后停药,再发时再次服药。对不能停药者,待症状完全消失后可尝试隔日服药的办法,以减少服用的药量。
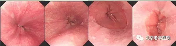
正常人胃镜下可见的食管表现

胃食管反流病患者的胃镜下表现


付万发
主任医师
北京老年医院消化科主任
中华医学会消化病学分会老年消化协作组委员,中国老年医学学会消化分会委员,中国老年医学学会流行病学与疾病预防分会委员,北京中西医结合学会消化内镜学专业委员会委员和老年医学专业委员会委员。长期从事老年消化性溃疡、老年慢性胃炎、老年便秘、老年胃食管反流病、老年NSAIDs溃疡,老年抗生素相关性腹泻、老年缺血性肠病、老年营养不良等疾病的诊治和研究,有比较丰富的消化系统急危重症疾病的抢救经验和疑难疾病的诊治经验,擅长胃镜和结肠镜下的诊断和微创治疗。
出诊时间:周二、周四上午