专家谈健康
肩痛到“怀疑人生”,警惕钙化性肌腱炎!

我们常见的肩痛一般指肩袖损伤、肩周炎、肩峰撞击综合征等,其实还有一种痛到“怀疑人生”的,就是今天我们要讲的“钙化性肌腱炎”。曾经门诊有一位38岁的孙女士无明显诱因突然出现左肩剧痛、发热、不能抬起,来我院行肩关节X片示:左肩钙化性肌腱炎,遂来康复医学科寻求保守治疗。

一、什么是肩袖钙化性肌腱炎?
肩袖钙化性肌腱炎是一种由于钙盐在肩袖肌腱中沉积引起关节周围炎症反应的疾病,好发于40-60岁的女性患者,其具体发病机制尚不清楚。

钙化性肌腱炎属于自限性疾病,非手术治疗为治疗该疾病的首选方法,经严格非手术治疗无效者可考虑采用手术治疗。
二、临床分期
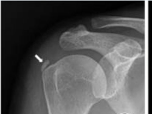
01 钙化前期
这一阶段很少有临床症状表现,在此期间,肌腱组织的成纤维细胞出现代谢紊乱,逐渐发展为后期的钙盐沉积。
02 钙化期
也称作急性发作期,钙化组织对周围正常组织磨损刺激产生无菌性炎症,导致组织水肿,此时患者疼痛最为剧烈,肩部活动明显受限。

箭头所指为肌腱钙化处
03 钙化后期
属于愈合期,钙化组织被吸收,原有的正常肌腱组织被疤痕组织修复,此期间患者疼痛症状可明显缓解或消失,部分伴有活动受限,其特征为沉积的钙盐消失与新生肌腱填充。
三、临床表现
肩部剧烈疼痛,可伴有局部发热、肿胀,夜间加重,影响睡眠。
肩部局部压痛点。
患肢无力,肩部主、被动活动明显受限。
X线片:肩袖组织内高密度影。
超声是一种诊断钙化性肌腱炎的良好诊断工具,并且可定位肌腱内的钙化,具有98%的敏感性和94%的特异性。
四、治疗方法
钙化性肌腱炎的主要治疗方法是保守治疗,包括休息、抗炎药物、理疗、功能锻炼等。急性期局部注射类固醇目前尚存在争议,没有确切的研究表明在急性期是否有积极作用,甚至可能有阻止沉积物再吸收的消极作用。
01 口服止痛药
钙化性肌腱炎是一种自限性疾病,如果疼痛较轻,多数患者经过休息,口服止痛药物即可自愈。
02 急性疼痛期患肢制动
大多数患者会在钙化性肌腱炎的急性期有非常严重的疼痛症状,疼痛到患者无法入睡,此时需对患肢制动,缓解疼痛。
需要注意的是急性期疼痛缓解后应尽快、及时进行肩关节活动度训练,以免因疼痛引起的肩关节活动减少发展为粘连性关节囊炎,导致迁延不愈。
03 中医传统治疗
针灸在治疗急性疼痛方面有独特的优势,痛则不通,以刺激穴位通经活络为主,激发体内免疫系统来消除炎症因子;艾灸可以改善血流分布,从而减轻炎症,达到通则不痛的目的,同时能调节气血经络,减少以后的复发。

04 物理因子治疗
体外冲击波治疗,其机理是通过冲击波造成微创伤,刺激局部血流来达到治疗目的。大约有50%-70%的病人在接受1到2次高能量的冲击波治疗后症状有好转。

05 超声引导下穿刺灌洗治疗
在超声引导下对钙化区进行捣碎并抽吸治疗是一种简便实用值得推荐的有效治疗方法。

06 微创手术
保守治疗欠佳的给予微创关节镜下钙化灶清除术。
有研究认为,没有必要完全清除钙化沉积物,因为过度处理可能会加重肌腱损伤,但减压的效果比完全清除钙化沉积物更值得关注。
术后如果疼痛能耐受,可立即进行肩部和上肢的康复,减压的病人需要使用手臂吊带保护3周,行肩袖修补术者,则需要使用肩关节外展支架4周。
钙化性肌腱炎几乎是众多肩痛疾病中疼痛最剧烈的,一旦诊断需立即采取措施减轻疼痛症状,持续疼痛不仅易引发焦虑、失眠等心理症状,还会因活动受限出现粘练性肩关节囊炎。
作者介绍:

高亚南,副主任医师,北京老年医院康复医学科,北京医学会鉴定专家,北京康复医学会骨科专委会常务委员,中国医师协会康复分会会员,中国老年学和老年医学学会老年病学分会老年康复专家委员会委员兼秘书,北京康复医学会青年委员,北京慢病防治管理协会老年专业委员会委员,北京女科技工作者协会会员。
从事康复的临床、科研和教学工作10余年。擅长老年综合征、骨科疾病及神经系统疾病的康复治疗及康复评定。负责及参与多项省部级、局级科研项目,发表SCI及多篇专业核心期刊论文。
出诊地点:门诊二层康复医学科
出诊时间:周一上午、周三上午