新闻动态
精准放疗:让82岁肺癌患者重燃生命曙光
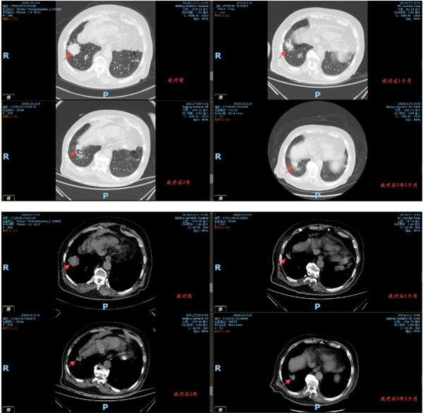
五年抗癌 无复发 82岁肺癌患者的无创治疗之路
“没想到,我82岁还能活得这么健康!”李大爷笑着说道。回顾五年来的抗癌历程,这位高龄患者不仅成功战胜了非小细胞肺癌,还保持了高质量的生活,这一切得益于北京老年医院肿瘤放疗科团队的精心治疗与精准放疗技术的应用。
病例分享
发现与挑战
高龄、多病共存的难题
2018年底,77岁的李大爷在一次例行体检中被发现右肺有占位性病灶。进一步检查确诊为非小细胞肺癌(cT2aN0M0)。这一消息犹如晴天霹雳,加上既往的双肺气肿、低氧血症、心包增厚和糖尿病等多种慢性病,让李大爷和家人对治疗的安全性充满顾虑。高龄、多病共存的特殊背景,使得手术等侵入性治疗方案风险极高,如何兼顾疗效与安全性成为巨大的挑战。
精准决策
量身定制的无创治疗方案

为了给李大爷提供最优的治疗,医院组织了胸外科、影像科、呼吸内科、肿瘤内科和肿瘤放疗科的多学科会诊(MDT)。经过全面评估,团队决定为患者实施局部精准放射治疗(RT),这是一种无创的局部肿瘤治疗手段,不仅能有效控制肿瘤,还可以将副作用降到最低,最大程度降低对患者基础病的影响。
从2019年4月至5月,李大爷接受了共30次精准放疗。治疗过程顺利,期间无明显不良反应。放疗团队通过实时影像引导技术,确保每次治疗都精准靶向病灶区域,力求既达到局部控制效果,又避免损伤周围正常组织。
显著疗效
肿瘤稳定,五年未复发

放疗后的复查显示,李大爷右肺下叶的病灶明显缩小,血氧水平得到改善,身体状况显著提升。更令人欣慰的是,自2019年以来,李大爷的病灶未再出现进展,五年随访中始终保持稳定。
如今,李大爷的生活质量未因癌症复发或治疗副作用而受到影响,日常生活不受影响,偶尔还与老友一起下棋、散步。这不仅是一项医疗成果,更是对患者生活质量需求的高度尊重。
无创放疗的价值
为高龄患者点亮希望
李大爷的案例充分展现了精准放疗在高龄、多病共存患者中的独特优势。通过精准的影像引导技术,放疗不仅实现了肿瘤控制,更避免了传统手术可能带来的高风险和长期恢复期。这种治疗手段对保持患者的长期健康状态起到了不可替代的作用。
北京老年医院肿瘤放疗科始终秉持“一切以患者为中心”的理念,结合国内外先进诊疗技术,为每位患者量身定制个体化治疗方案。放疗的微创、精准和安全特点为众多高龄患者提供了新的治疗选择,使他们能够以更轻松的方式迎接生命中的每一天。
文 / 肿瘤放疗科 胡小龙
编辑 / 宣传中心
● 科室介绍

基本情况
肿瘤放疗科现有医师4人,其中主任医师1人,主治医师2人,住院医师1人;物理师1人,技师2人,护士12人。现有床位16张。2023年12月,与北京肿瘤医院成立北京肿瘤医院北京老年医院肿瘤综合诊疗中心。
特色服务
重点病种
各种肿瘤的根治和姑息放疗、各种肿瘤脑转移、骨转移的姑息放疗、放疗和药物的同步治疗。
重点技术
图像引导的调强放疗。
新技术新项目
早期肺癌的大分割放疗;肿瘤寡转移灶的大分割放疗,CT引导下的肿瘤穿刺。
专家介绍

主任医师
肿瘤放疗科 主任
从事以放疗为主的肿瘤综合治疗工作30余年,在肿瘤放疗和药物治疗方面积累了丰富的经验。现为中国老年肿瘤学会放疗专委会常委,北京医学会放射肿瘤学分会委员,北京医师协会放疗专委会理事,北京抗癌协会放疗专委会委员。
出诊地点
肿瘤放疗科诊室
(门诊二楼内三诊疗区)
出诊时间
周一、周三 上午
周四 全天