新闻动态
七年无复发丨无创精准放疗重拾患者生命希望
七年无复发84岁肺癌患者的无创治疗之路
2025年元旦前夕,北京老年医院放疗团队来到胸外科病房,对84岁高龄的住院患者韩大爷进行会诊及查房。检查结果显示,患者右肺上叶的肿瘤病情依然保持稳定,且七年来未见复发迹象。这让一度担忧的韩大爷一家松了一口气,格外高兴。韩大爷拉着放疗科张建春主任的手,感慨地说道:“没有你们,我哪还有今天!当初选择来老年医院做放疗真是选对了。”
韩大爷的故事
七年前,77岁,一直身体硬朗的韩大爷,因持续咳嗽前往北京老年医院胸外科就诊,最终确诊为右肺上叶恶性肿瘤(低分化鳞癌)。确诊后,他曾接受过两次化疗,虽然病灶缩小,但严重的化疗反应让他虚弱不堪。主治医生建议他转向精准放疗,这种温和的治疗方式通过高精度射线靶向肿瘤,有效减少对健康组织的损害。随后,他就诊我院肿瘤放疗科,顺利完成了30次精准放疗,肿瘤病情得到有效控制,且七年来未见复发迹象。

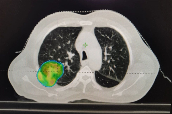
2017年右肺上叶肿物精准放疗计划
病情反复与应对
如今已经84岁的韩大爷,一个月前出现痰中带血,症状逐渐加重,并伴有气短。检查显示右肺下叶支气管狭窄并有新生物占位,随后胸外科顺利为他实施了支气管镜下冷冻治疗和电套圈切割术,成功缓解了喘憋和出血症状。但经过胸外科反复评估后,考虑外科手术难度较大,主治医生再次找到我们肿瘤放疗科会诊。当韩大爷再次见到我们时,他十分亲切地说道:“你们让我多活了七年,我这次还要找你们放疗。”听到患者如此信任的话语,我们倍感责任重大。

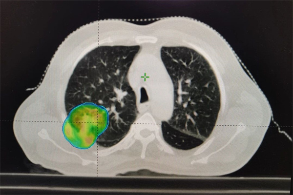
2024年右肺下叶肿物精准放疗计划
精心制定治疗方案
为确保最佳治疗效果,同时降低副反应,我们放疗团队仔细查阅了韩大爷7年前的放疗方案(针对右肺上叶)。经过全面的评估和讨论,我们决定为他量身定制新的放疗计划,针对现阶段右肺下叶的肿物进行精准放疗。在新的治疗方案中,我们对放疗计划不断优化进行剂量雕刻,以最大限度地减少对周围肺健康组织的损伤,并确保治疗的精确性和安全性。新的放疗计划一经制定,便立即启动了治疗程序。
精准放疗的意义
韩大爷的经历凸显了精准放疗对老年患者的价值。对于体质较弱的患者,这种治疗方式不仅有效控制病情,还显著降低治疗副作用,最大限度地保护生活质量,韩大爷的故事只是精准放疗成功案例中的一例,无创精准放疗为老年患者带来了更安全、更温和的治疗选择,也让他们能够在抗癌过程中保持尊严与生活质量。未来,随着技术的不断发展,这种治疗方式将为更多患者带来新的希望。
应对老年患者对放疗的担忧
放疗是老年肿瘤患者的重要治疗手段,适用于淋巴瘤、头颈部肿瘤、宫颈癌、乳腺癌、肺癌、直肠癌、骨转移等多种肿瘤,可用于根治、辅助或姑息治疗。
老年肿瘤患者常因对副作用的恐惧(如“好细胞和坏细胞一同被杀死”)而抗拒放疗。事实上,现代放疗技术(如调强放疗IMRT、立体定向放疗SBRT等)已经显著提高了对肿瘤的精准打击能力,能有效保护周围正常组织,降低副作用的发生率。针对副作用的管理(如恶心、皮肤反应等)也有许多有效措施,可以让患者更安全地完成治疗。
文 / 肿瘤放疗科 胡小龙
编辑 / 宣传中心
作者简介

胡小龙
主治医师
放射肿瘤学博士
硕士和博士期间培养于中国人民解放军空军总医院肿瘤放疗中心(全军肿瘤放疗中心),近3年以独立第一作者发表SCI论著4篇(IF>5分,2篇),中文核心期刊4篇,参与国家级课题1项,全军课题2项,承担院内课题1项。参与编著人卫版《肿瘤放射外科治疗学》,现担任《医学新知》、《中国肿瘤外科杂志》等核心期刊特邀青年审稿专家。
擅长老年肺癌、食管癌、胰腺癌、结直肠癌、乳腺癌、淋巴瘤、肝癌、头颈部等恶性肿瘤的精确放疗及综合治疗。
出诊地点
肿瘤放疗科诊室
(门诊二楼内三诊疗区)
出诊时间
周二全天、周四下午
专家介绍

主任医师
肿瘤放疗科 主任
从事以放疗为主的肿瘤综合治疗工作30余年,在肿瘤放疗和药物治疗方面积累了丰富的经验。现为中国老年肿瘤学会放疗专委会常委,北京医学会放射肿瘤学分会委员,北京医师协会放疗专委会理事,北京抗癌协会放疗专委会委员。
出诊地点
肿瘤放疗科诊室
(门诊二楼内三诊疗区)
出诊时间
周一、周三 上午
周四 全天
上一篇: 喜报 | 北京老年医院在北京市医务社工服务案例及模式大赛中获佳绩
下一篇: 你好,2025!