新闻动态
技术突破!北京老年医院呼吸内科成功开展首例径向超声引导下经气管镜肺内病灶活检术
在呼吸疾病诊疗技术不断革新的背景下,北京老年医院迎来重要突破。5月8日,我院呼吸内科成功完成院内首例微型径向超声小探头引导下经支气管镜肺内远端病灶活检术(REBUS-GS),标志着北京老年医院气道介入治疗技术迈向新高度。
病例分享
三维成像+超声环扫
破解"隐形病灶"定位困局
肺部远端病灶穿刺诊断一直是呼吸疾病诊疗领域的“硬骨头”。由于存在定位难、穿刺难等问题,不仅操作风险高,还易引发气胸、大出血窒息、心率紊乱等多种并发症。而REBUS-GS技术作为近年来呼吸介入治疗领域发展迅速的创新手段,为攻克这一难题带来希望。
该技术通过综合分析患者胸部CT,甚至运用三维成像技术精准锁定病灶所在肺段与支气管,随后将直径仅1.4mm的微型超声小探头(见图1)送至目标支气管远端进行360度环形扫描,精准定位病灶并标记。


微型超声小探头
最后,在支气管镜引导下,经引导鞘管送入活检钳获取病理标本,为临床诊断提供关键依据。
这一复杂过程中的每一步都需严谨分析,必要时还需呼吸内科、放射科、胸外科、超声科等多学科联动,共同制定方案、预判风险并筹备应急预案。
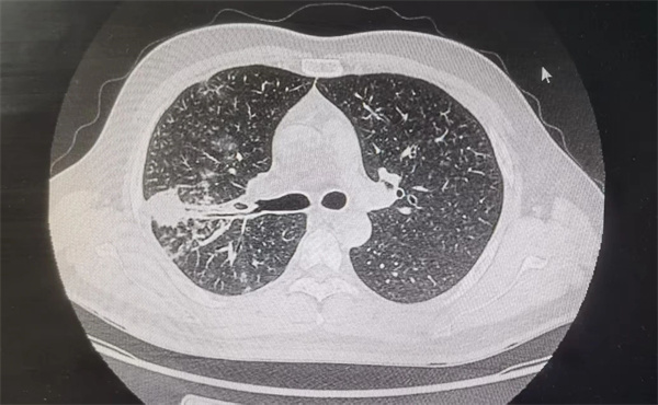
此次手术在医院腔镜中心进行,患者为67岁男性刘某,因左上肺远端出现不规则毛刺并分叶的结节病灶就诊,临床高度怀疑恶性肿瘤。

患者肺部CT影像图

患者肺部超声影像图
鉴于病灶距离胸膜较远,不适合传统CT引导下穿刺,呼吸内科经充分讨论,决定采用REBUS-GS技术,并制定了详尽的治疗与应急方案。同时,特别邀请北京应急总医院张洁莉主任医师现场指导。
1小时8标本!
多学科协力揪出隐藏病灶
手术由呼吸内科副主任吴海玲操作执行,张洁莉主任负责专业指导。术前,张洁莉主任详细讲解了微型超声应用知识、操作要点、图像分析及注意事项。

术中,吴海玲副主任操控气管镜抵达患者左上叶支气管后段,运用微型超声反复扫描,成功定位病灶并标记。随后,在超声引导下对病灶进行多处钳夹、刷片,顺利获取满意病理标本。令人惊喜的是,在对相邻支气管超声检查时,又发现另一远端病变,团队立即对新增病灶进行活检。整个手术历时1个多小时,共获取8块高质量病理标本,最终圆满完成,患者术后状态良好,已平安返回病房。2天后,患者通过本次活检病理结果明确诊断。
支气管镜进入“导航时代”
北京老年医院呼吸介入技术攀登新高度
微型超声引导下经支气管镜远端病灶活检技术近年来发展迅猛,逐渐成为呼吸介入治疗的重要手段。该技术凭借精准定位与穿刺优势,显著提升病理标本获取质量和诊断成功率。此次在北京老年医院的成功开展,不仅为肺部小结节疾病的精准诊断与治疗筑牢根基,更将有力推动医院呼吸内科介入治疗技术水平提升,进一步扩大其在业内的影响力,为更多呼吸疾病患者带来精准、高效的诊疗新选择。
供稿 | 呼吸内科
编辑 | 宣传中心
北京老年医院呼吸内科

北京老年医院呼吸内科是北京老年医院历史悠久的科室,拥有床位近80张,每年收治呼吸系统疾病患者1300余人,门诊量每年26000余人次。科室拥有一支热爱本职工作,具有丰富临床经验和临床高技术水平的优秀医师队伍及护理团队。其中医师13名,护士36人;主任医师1人,副主任医师5人;硕士研究生11人。
科室配备有肺功能室、运动心肺试验室、气管镜室、睡眠监测室。能够熟练开展各种气管镜下和内科胸腔镜下介入治疗手术,每年进行气管镜下诊断和介入治疗1300余例。可开展肺功能检查、支气管激发试验、呼出气NO检测、睡眠呼吸监测、电子支气管镜、内科胸腔镜、无创心功能检测、过敏原检测等检查。可开展有创、无创机械通气、多学科合作呼吸康复治疗、慢阻肺患者的膈肌起搏康复治疗、高流量氧疗、 气道疾病的雾化治疗等。
目前,科室除开设常规门诊外,还开设戒烟门诊、咳嗽门诊、肺小结节门诊、间质性肺疾病门诊、血栓门诊、睡眠呼吸疾病门诊等特色门诊。
科室设有慢阻肺俱乐部,定期发布慢阻肺相关科普知识,召开慢阻肺健康宣教会,使“肺友”之间能够相互交流治疗效果与体会。
科室还邀请国内著名专家定期来医院查房,诊治疑难病例,指导危重症患者的治疗,大大提高了呼吸内科对疑难疾病的诊治水平。
擅长治疗病种:
呼吸系统常见病及疑难疾病、肺部结节病、肺部小结节疾病、肺部肿瘤、间质性肺疾病、睡眠呼吸疾病诊治及呼吸危急重症救治、慢阻肺的康复治疗。
特色诊疗技术:
肺功能检查、支气管狭窄球囊扩张、气道激发试验、超声支气管镜引导下淋巴结活检、支气管结核冷冻消融、无创机械通气治疗等。
专家介绍

主任医师
硕士研究生导师
北京老年医院呼吸内科 主任
专业特长
擅长气道疾病的介入治疗,对气管、支气管结核、气道狭窄、气道肿瘤、气道异物以及肺部感染性疾病的诊断及鉴别诊断。能够熟练进行气管镜下气道新生物活检、刷检,经支气管镜肺活检、淋巴结活检、超声支气管镜引导下淋巴结活检。能够熟练进行气道内疾病的冷冻消融、APC热消融、电刀病灶切割、支气管狭窄球囊扩张术、大容量肺泡灌洗等操作技术。对呼吸系统急危重症抢救治疗、有床机械通气和无创通气治疗经验丰富。
个人成就
澳大利亚新南威尔士大学医学院附属医院和英国伦敦老年中心学习老年病的治疗、管理与康复。在核心期刊发表医学论文30余篇。主持北京市市级课题2项,院级课题1项。参与老年医学编著8部,副主编3部,医学发明专利7项。
社会任职
中华医学会老年医学分会呼吸专业委员会委员,北京医师协会康复医学分会心肺康复专业组委员,中国老年学学会委员,北京医学会老年医学分会委员,北京慢病学会老年病专业委员会委员、副秘书长,北京医学会呼吸病学分会委员,北京医学会感染病学分会委员,北京医学会老年与呼吸危重症分会委员,北京中西医结合学会呼吸分会委员,北京医师协会呼吸医师分会理事,北京市慢阻肺联盟常委,亚洲冷冻协会委员。
出诊时间
周一上午
气管镜治疗时间
周三、周四上午
专家介绍

副主任医师
北京老年医院呼吸内科 副主任
长期从事呼吸与危重症专业工作,擅长肺炎、咳嗽、慢阻肺、支气管哮喘、支气管扩张、肺心病、间质性肺疾病、肺栓塞、肺部小结节等呼吸科各种常见疾病的诊断治疗;擅长肺部阴影的鉴别诊断、支气管镜介入技术、睡眠呼吸暂停低通气综合征诊治;尤其擅长重症肺炎、各种原因所致呼吸衰竭、支气管哮喘持续状态、急性呼吸窘迫综合症等危急重症呼吸系统疾病的救治。
个人成就
多次被评为北京卫生系统先进个人,曾荣获北京地区百名优秀青年医师、北京市优秀医师、北京市抗击新冠肺炎疫情先进个人。参编多部书籍、发表10余篇论文。
社会任职
北京医学会老年医学分会呼吸学组委员,北京医学会呼吸病学分会感染学组委员,北京整合医学学会介入诊疗转化医学分会委员,中国老年学和老年医学学会老年病学分会老年康复专家委员会委员,中国老年保健协会基层健康教育与科普分会常务委员。
出诊时间
周三上午
气管镜治疗时间
周二、周三上午
专家介绍

吴海玲
副主任医师
北京老年医院呼吸内科 副主任
专业方向
老年肺部感染性疾病、肺部肿瘤的诊断和治疗、气道结核和肿瘤的介入治疗、COPD诊疗及肺康复、呼吸危重症的诊治。
个人成就
2020年北京市优秀医师、北京市抗击新冠肺炎疫情先进个人。参与国家科技重大专项科技创新2030 -“癌症、心脑血管、呼吸与代谢性疾病防治研究”,参与省市级课题多项,主持院内课题1项,在核心期刊发表医学论文数篇,参与老年医学编著3部,参编呼吸学科专著1部,实用新型专利5项。
社会任职
北京医学会老年医学分会危重症学组委员,北京医学会呼吸分会委员,北京中西医结合学会呼吸分会委员,北京医学会呼吸感染学组委员,北京中西医结合学会感染分会委员,北京围手术期医学研究会呼吸专业委员会委员,亚洲冷冻协会委员。
出诊时间
周二上午
气管镜治疗时间
周三、周四上午